
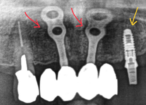
インプラントはオペの回数と構造で2種類に分かれます
赤:1回法
黄:2回法
1回法はオペが1回なので簡単ですが、被せ物の形や清掃性が2回法のそれに劣ります
本院では、よりインプラントが長く持つように、より見た目が良くなるように
2回法のみを選択しています
また1回法では要介護状態などになった時に、様々な点で良くないとも言われています
インプラントを選択させる際の参考になれば幸いです
電話番号 03-3767-0648
住所 〒143-0016 東京都大田区大森北6丁目23-22
営業時間 【午前】9:00〜13:00【午後14:00〜17:00 ※17:00以降は、予約制カウンセリング。
定休日 木曜日
住所 〒143-0016 東京都大田区大森北6丁目23-22
営業時間 【午前】9:00〜13:00【午後14:00〜17:00 ※17:00以降は、予約制カウンセリング。
定休日 木曜日

