
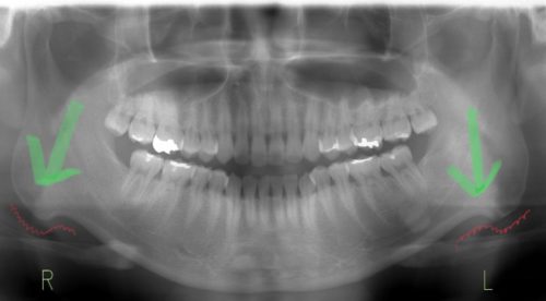
皆さんはこのようなレントゲンを撮ったことはありますか?
この部分の角度を見るだけで、肩こりしやすいかが分かる!
・・・とまでは残念ながら言えませんが、いわゆるエラと呼ばれる部分で、
このようにS字に曲がっている場合は、食いしばりの力が若干強めだと言われています
食いしばる力が強い、頻度が多いと、歯の痛み、特に奥歯の痛みにも関わってきます
奥歯が痛いけど虫歯じゃない、そんな時は、この食いしばりが原因のことが多いです
ちなみにこれは僕のレントゲンで
食いしばりが強く、奥歯に激痛が走ったことがありました
マウスピースを使用し、痛みは治まったので、現在はマウスピースを使用していません
電話番号 03-3767-0648
住所 〒143-0016 東京都大田区大森北6丁目23-22
営業時間 【午前】9:00〜13:00【午後14:00〜17:00 ※17:00以降は、予約制カウンセリング。
定休日 木曜日
住所 〒143-0016 東京都大田区大森北6丁目23-22
営業時間 【午前】9:00〜13:00【午後14:00〜17:00 ※17:00以降は、予約制カウンセリング。
定休日 木曜日

