
歯ぎしりの兆候は、色々な所に現れます
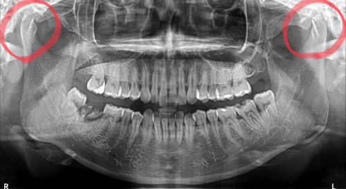
この方は、20代女性ですが、顎の関節が、左右とも、重度に吸収しています
こうなると、完全に治るのは難しい、と言われています
そもそも、何をもって治るとするのか、から話を始めなければなりません
ただ、はっきり言えるのは、音は気にしないのが一番です
音がなり始めて1〜3ヶ月以内であれば、適切な処置を行えば治ることが多いですが、
大抵の方は痛くないからと言って歯医者に来院されません
『音がなり始めたのはいつからですか?』とお伺いして、
『つい最近です』と言われた経験はほとんどありません・・・
次に痛みです
これは、なるべく早く、歯科医院を受診してください
顎の痛みは何科で見てくれるの?という質問を良く見ますが、歯科で大丈夫です
痛みの病態は実に様々ですので、一度相談してもらうのが良いと思います
本院では噛み合わせだけでなく、習慣や姿勢など、複合的に診断を行なっています
電話番号 03-3767-0648
住所 〒143-0016 東京都大田区大森北6丁目23-22
営業時間 【午前】9:00〜13:00【午後14:00〜17:00 ※17:00以降は、予約制カウンセリング。
定休日 木曜日
住所 〒143-0016 東京都大田区大森北6丁目23-22
営業時間 【午前】9:00〜13:00【午後14:00〜17:00 ※17:00以降は、予約制カウンセリング。
定休日 木曜日

