
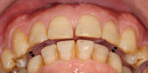
前歯が当たっていないと、問題があるのは、麺類が食べにくいことだけではありません
前歯が当たることで、奥歯を守る、というとても大切な機能が疎かになってしまうのです
つまり、奥歯にダメージが蓄積し、いずれは抜歯に至る可能性が高いということです
ただし、皆さんが矯正が必要なのかというと、そうではない、と考えます
その考慮点は、年齢、咬む力、虫歯や歯周病のリスク、見た目、など様々です
お悩みの方は、是非一度ご相談ください
電話番号 03-3767-0648
住所 〒143-0016 東京都大田区大森北6丁目23-22
営業時間 【午前】9:00〜13:00【午後14:00〜17:00 ※17:00以降は、予約制カウンセリング。
定休日 木曜日
住所 〒143-0016 東京都大田区大森北6丁目23-22
営業時間 【午前】9:00〜13:00【午後14:00〜17:00 ※17:00以降は、予約制カウンセリング。
定休日 木曜日

