大森の歯医者・矯正歯科「大森沢田通り歯科・予防クリニック」
土日祝も診療セカンドオピニオン受付中

東京大森の歯医者・矯正歯科「大森沢田通り歯科・予防クリニック」|MAP

〒143-0016
東京都大田区大森北六丁目
23番22号ユキガヤビル

クレジットカード、電子マネー、QRコード決済、交通系IC 対応

ブログ BLOG

  1. Home
  2. >
  3. ブログ
  4. >
  5. 未分類
  6. >
  7. 大田区で歯周病の治療を受けるなら(再生とは)

大田区で歯周病の治療を受けるなら(再生とは)

 

 

歯周病治療の権威、コルテリーニ先生です

 

今日は再生療法についてお話します

 

 

皆さんは、歯周病になったら元に戻らないと聞いたことがありませんか?

 

これは、半分ほんとですが、半分うそなんです

 

 

 

 

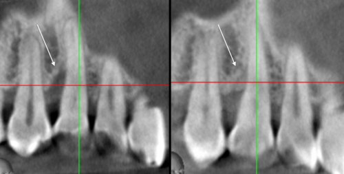
歯周病とは、一言で言うと骨が溶ける病気です

歯肉、歯茎を切って開けて見ると、骨がないことが分かります

(怖いですね、すみません

 

 

レントゲン的にも骨がないことが確認できます

 

 

 

しかし、ここに再生療法を行うと・・・

 

 

 

黒いところが、白くなっている、つまり骨が出来た、再生したということです

 

 

深いポケットがより深くなり、口臭の原因となったり、ゆくゆくは抜けてしまうのを

遅らせることが出来ました

 

 

ただし、この方法は全ての歯に応用できるという訳ではありません

 

お悩みのかたは一度ご相談まで。

 

 

電話番号 03-3767-0648
住所 〒143-0016 東京都大田区大森北6丁目23-22
営業時間 【午前】9:00〜13:00【午後】14:00〜17:00 ※17:00以降は、予約制カウンセリング。
定休日 木曜日