
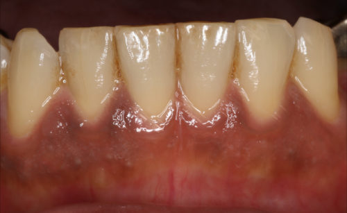
ズバリ原因はタバコです、解決法としては薬液を塗るだけです
処置は30分もあれば十分で、麻酔などはいりません
術後は若干ピリピリする感じがある、と言われますが、痛み止めを飲むほどではありません
着色が濃い方は1回では取りきれない部分もあり、2、3回処置を行うこともあります
興味があれば是非ご相談ください
電話番号 03-3767-0648
住所 〒143-0016 東京都大田区大森北6丁目23-22
営業時間 【午前】9:00〜13:00【午後14:00〜17:00 ※17:00以降は、予約制カウンセリング。
定休日 木曜日
住所 〒143-0016 東京都大田区大森北6丁目23-22
営業時間 【午前】9:00〜13:00【午後14:00〜17:00 ※17:00以降は、予約制カウンセリング。
定休日 木曜日

