

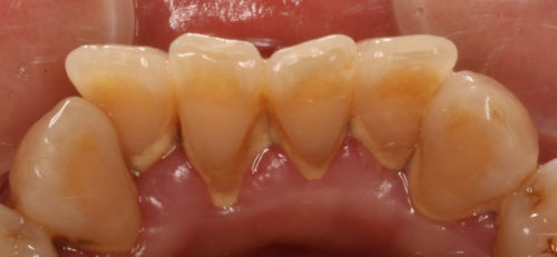
歯石がどれか分かりますか?緑の部分がそうです
下の前歯は特に歯石が付着しやすい部分です
歯石があると、そこにプラークが停滞しやすいため、除去した方が良い
・・・当然なのですが、少し注意事項があります
これだけ歯石がついていると、歯と歯の隙間を歯石が“埋めてくれている”
可能性があります
どういう事かと言うと、歯石を除去した後に隙間が見えるようになり
見た目が悪くなったり、物が逆に詰まり易くなる、という事がおきます
ただ、歯周病が進行して抜けてしまうよりは良いですよね・・・
そうならないためにも、しっかりセルフケアを行いましょう
電話番号 03-3767-0648
住所 〒143-0016 東京都大田区大森北6丁目23-22
営業時間 【午前】9:00〜13:00【午後14:00〜17:00 ※17:00以降は、予約制カウンセリング。
定休日 木曜日
住所 〒143-0016 東京都大田区大森北6丁目23-22
営業時間 【午前】9:00〜13:00【午後14:00〜17:00 ※17:00以降は、予約制カウンセリング。
定休日 木曜日

